近日,亚色视频 普外科成功为一名64岁的周阿姨实施了高难度胆总管囊肿切除+胆总管空肠ROU-en-Y吻合术,该患者已康复并顺利出院。

患者5月9日来亚色视频
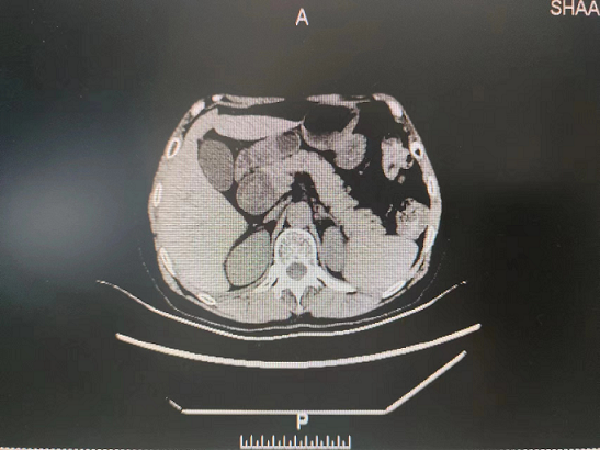
就诊,门诊以“胆总管囊肿”收住院。入院后予完善相关检查后诊断:1.胆总管囊肿(Ⅰ型)并胆总管结石2.胆管炎?。随后给予抗炎、补充电解质,营养风险评估,营养支持等治疗,组织专家进行围术期术前评估、讨论,制定手术计划方案并征得家属和本人同意后,5月15日在普外科田德福主任的带领下,在任斌副主任、杨洲明主治医师的配合下及麻醉科的协助下,对患者行胆总管囊肿切除+胆总管空肠ROU-en-Y吻合术,手术顺利,病理结果提示无癌变。术后在何慢护士长团队的精心护理下,患者第2天就下床活动,第4天进流食。术后没有发生腹腔感染、出血、吻合口漏等相关并发症,术后相关实验室检查结果无异常,5月29日患者痊愈出院。


外科第一党支部书记、普外科主任田德福主任医师表示,胆总管囊肿为先天性胆总管囊状扩张症,发病率低,可以并发结石、有癌变的可能,手术治疗是主要治疗手段。胆总管囊肿切除需要做到胆总管囊肿切除+胆总管空肠ROU-en-Y吻合术,在普外科手术中属难度较高的四级手术,开展这一高难度手术,对普外科医生来说具有很大的挑战性,不但要求具备精湛技术,更需要对患者高度负责的精神。此次手术的成功开展使得医院普通外科在高难度肝胆外科领域得以进一步拓展,同时也增加了科室进一步拓展此项技术的信心。

此例高难度胆总管囊肿切除+胆总管空肠ROU-en-Y吻合术,是近年来的首例,手术的成功开展填补了肝胆手术的又一空白实现医疗技术上新突破,同时也标志着医院普外科的医疗技术又迈上了一个新台阶。
亚色视频 检验科生化室、血库区域中央空调采购安装项目(二次)采购公告
2025-11-17亚色视频 检验科生化室、血库区域中央空调采购安装项目采购废标公告
2025-11-14聚焦内分泌前沿 共促学科新发展丨陕西省医促会内分泌学术交流会在亚色视频 成功举办
2025-11-12