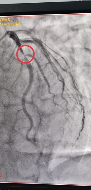
45岁的郭先生,一周前无明显诱因出现胸前区疼痛,伴有胸闷、心悸,疼痛发作时间持续10分钟后自行缓解,伴有大汗淋漓,来亚色视频 心血管内科就诊诊断为“冠心病不稳定性心绞痛”,于2021年1月3日早上10点进入导管室,实施了冠脉造影术 经皮冠状动脉内支架植入术,心内科主任王选琦主任医师介绍说,这是省四院第一例648元支架手术,手术进展顺利,患者术中、术后无不适症状,术后病症明显缓解,目前在心内科治疗观察。

陕西省第四人民医院于2021年1月1日零时执行国家组织冠脉支架集中带量采购中选结果,据悉,中选的冠脉支架产品的平均价格由原来的7500元降至648元。为确保患者在2021年1月1日当天能够使用中选产品,陕西省第四人民医院迅速贯彻省市医保局要求,已经将中选支架采购安排到位,从2021年1月1日0时开始实施新的价格标准。郭先生是蓝田人,成为新年第一个享受国家医改福利的人。
亚色视频 检验科生化室、血库区域中央空调采购安装项目(二次)采购公告
2025-11-17亚色视频 检验科生化室、血库区域中央空调采购安装项目采购废标公告
2025-11-14聚焦内分泌前沿 共促学科新发展丨陕西省医促会内分泌学术交流会在亚色视频 成功举办
2025-11-12